您好,歡迎光(guāng)臨中科(kē)瑞泰!

免費咨詢電話(huà):
400-699-0631

首頁 > 蛋白(bái)生(shēng)物學 > 蛋白(bái)Marker > 多肽電泳Marker

超低分(fēn)子量蛋白(bái)Marker IV(3.3-45kD)

超低分(fēn)子量蛋白(bái)Marker IV(3.3-45kD)

産品編号:RTD6127

産品規格:10次

數量
價格 ¥200

超低分(fēn)子量蛋白(bái)Marker IV3.3-45kD

産品編号及規格:

RTD6127   10T50μl

儲存條件(jiàn): -20℃保存,開封後有效期12個月。

産品簡介:本産品包含2種多肽和3種低分(fēn)子量蛋白(bái)質組成,分(fēn)子量範圍爲3.3kD-45kD。可(kě)以用來(lái)判斷 SDS-PAGE上多肽和小蛋白(bái)的分(fēn)子量。 

 

 

使用說(shuō)明:

第一次收到該産品,室溫融化後,徹底混勻,離(lí)心快(kuài)甩将溶液完全收集到管底;本産品每次使用前,95加熱(rè)處理(lǐ)5分(fēn)鍾

. 制膠:

I 配制分(fēn)離(lí)膠

1.按照(zhào)表一将不同體(tǐ)積的雙蒸水、40%PAA19:1)、凝膠緩沖液和乙二醇加入到小燒杯中混合。

2.加入10%APSTEMED,立即混勻5-10秒,以使溶液充分(fēn)混勻。

3.在凝膠模具中迅速灌入适量分(fēn)離(lí)膠溶液,然後在分(fēn)離(lí)膠溶液上輕輕覆蓋一層1-3 cm的水層,使凝膠表面保持平整。

4.靜(jìng)置5-10分(fēn)鍾,待分(fēn)離(lí)膠和水層之間出現一個清晰的界面表示凝膠已聚合。

表一  (一塊0.75mm mini膠用量)

 

分(fēn)離(lí)膠

濃縮膠

 

18T, 5%C /6.0 ml

5T, 3.3%C/2 ml

40% PAA19:1

2.7 ml

/

40% PAA (29:1)

/

0.25 ml

4×多肽電泳凝膠緩沖液

1.5 ml

0.5 ml

乙二醇(電泳級)

1.8 ml

/

ddH2O

/

1.25 ml

10APS

50-65 μl

20 μl

TEMED

6 μl

2 μl

注:如(rú)非必須,不要使用1.0mm1.5mm的凝膠,盡量使用厚度0.75mm的凝膠,這樣會減少電泳後染色和脫色的時間。


II 配制濃縮膠

去(qù)除覆蓋在分(fēn)離(lí)膠上的水層,用濾紙将殘留的水吸去(qù)。

1.按照(zhào)表一将不同體(tǐ)積的雙蒸水、40%PAA(29:1)和凝膠緩沖液加入到小燒杯中混合。

2.加入10%過硫酸铵和TEMED,立即混勻5-10秒,以使溶液充分(fēn)混勻。

3.将梳子插入凝膠内,避免産生(shēng)氣泡。

4.靜(jìng)置20-30分(fēn)鍾裝待凝膠聚合

. 電泳:

1. 取一管分(fēn)裝好的Marker樣品,徹底融化,95加熱(rè)處理(lǐ)5分(fēn)鍾,充分(fēn)混勻後備用。

2. 電泳前,将10×Tris-Tricine-SDS電泳緩沖液(Cat No:CB010)用蒸餾水稀釋成1×緩沖液備用。将電泳槽的内外槽加入1×緩沖液,輕柔拔出梳子,将Marker或蛋白(bái)樣品(樣品已經過2×Tricine上樣緩沖液[Cat No:TP050]處理(lǐ))加入點樣孔,根據表二條件(jiàn)進行電泳,至藍色指示前沿至分(fēn)離(lí)膠3/4位置時即可(kě)停止電泳。整個電泳過程大(dà)約需要2-3個小時。注:如(rú)果電泳時間過短(duǎn),染色時,指示前沿容易遮擋小于5kd的小肽。

表二 多肽電泳條件(jiàn)

恒電壓

150 V

起始電流

45-55 mA

結束電流

 10-15 mA

電泳時間

2-3小時

. 染色

根據常規實驗步驟,用配方5和6(表三)進行染色和觀察。如(rú)果使用配方5進行染色時效果不好或考慮其毒性,請(qǐng)選擇本公司的FastBlue蛋白(bái)染色液(Cat NoRTD6202,該産品能在5分(fēn)鍾之内完成蛋白(bái)的染色,不至于小肽在染色和脫色中從(cóng)凝膠中脫離(lí),是常規染色液的理(lǐ)想替代品。

表三 小分(fēn)子蛋白(bái)質SDS-PAGE電泳試劑配制

1. 40%PAA29:1)(配制濃縮膠)

Cat No:AC2914

   丙稀酰胺       38.67g

   甲叉雙丙稀酰胺 1.33g

 ddH2O溶解後定容至100 ml,過濾後使用。

貯存:4避光(guāng)保存

2.  40% PAA19:1 (配制分(fēn)離(lí)膠)

Cat No:AC1914

丙稀酰胺      38 g

甲叉雙丙稀酰胺 2 g

ddH2O溶解後定容至100 ml,過濾後使用。

貯存:4避光(guāng)保存

3. 4×多肽電泳凝膠緩沖液(配制凝膠用)

[3MTris; 0.4% SDS; pH8.45]

Cat No:GB010

Tris 36.3 g

ddH2O 80ml

0.4 g SDS4 ml 10SDS

HCl調pH值至8.45ddH2O定容至100 ml

貯存:4


4. 10×Tris-Tricine-SDS電泳緩沖液

[1MTris;1MTricine ;1% SDS; pH 8.3]

Cat No:CB010

Tris 121.14g

Tricine 179.2g

SDS10g

ddH2O溶解,定容至1000ml(不用調pH)

貯存:4

注:使用前稀釋成緩沖液使用

5. 染色液

冰醋酸            100 ml

甲醇              450 ml

考馬斯亮藍G-250  0.25 g

                450 ml

 

6. 脫色液

冰醋酸  100ml

      900ml

7.  2×Tricine蛋白(bái)樣品上樣緩沖液(10ml

Cat No:TP050

1ml 1MTris-Cl pH6.8

2.4ml 甘油

0.8g  SDS

0.31g DTT(或者400μl β-巯基乙醇)

2mg 考馬斯亮藍G-250

用滅菌ddH2O定容至10ml

混勻分(fēn)裝-20貯存備用

 

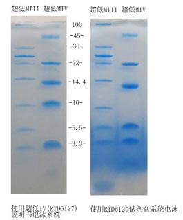
超低分(fēn)子量蛋白(bái)MarkerIV附加說(shuō)明


 















由于小肽的氨基酸數目較少,表觀分(fēn)子量受氨基酸種類影(yǐng)響很大(dà),同一小肽在不同的電泳系統中表現爲分(fēn)子量大(dà)小可(kě)能不一樣。超低分(fēn)子量蛋白(bái)Marker IV中的倒數第二條帶即爲這種情況。在使用4×多肽電泳凝膠緩沖液加乙二醇的凝膠系統中(RTD6127附帶說(shuō)明書(shū)系統),表觀分(fēn)子量爲10KD(上圖左);而在使用超低分(fēn)子量試劑盒系統(RTD6120)電泳時,表觀分(fēn)子量爲5.5KD(上圖右)。




多肽電泳配套試劑

 



使用蛋白(bái)Marker産品發表部分(fēn)文章(zhāng)列表:

1. [2021 IF=5.5] Garviecin LG34, a novel bacteriocin produced by Lactococcus garvieaeisolated from traditional Chinese fermented cucumber.

Author: Yurong Gao, Dapeng Li, Shan Liu, Liyuan Zhang

Marker: RTD6110,彩虹超低分(fēn)子量蛋白(bái)Marker(1.2-45 kD)

Journal: Food Control 50 (2015) 896e900

Institution:Key Laboratory of Veterinary Medicine of Heilongjiang Bayi Agricultural University

Paper linkhttp://dx.doi.org/10.1016/j.foodcont.2014.10.040

 

2. [2021 IF=5.5] Purification and partial characterization of M1-UVs300, a novel bacteriocin produced by   isolated from fermented sausage Lactobacillus plantarum.

Author: Yu An, Ying Wang, Xiaoyue Liang, Huaxi Yi, Zhaohang Zuo, Xiaoxi Xu, Dongjie

Zhang, Changqing Yu, Xue Han

Marker: RTD6110,彩虹超低分(fēn)子量蛋白(bái)Marker(1.2-45 kD)

Journal: Food Control  Volume 81, November 2017, Pages 211-217

Institution:Key Laboratory of Veterinary Medicine of Heilongjiang Bayi Agricultural University

Paper linkhttps://doi.org/10.1016/j.foodcont.2017.05.030

 

3. [2021 IF=5.75] The Verticillium dahliae SnodProt1-Like Protein VdCP1 Contributes to Virulence and Triggers the Plant Immune System.

Author: Yi Zhang, Yuhan Gao, Yingbo Liang, Yijie Dong, Xiufen Yang, Jingjing Yuan and Dewen Qiu

Marker: RTD6110,彩虹超低分(fēn)子量蛋白(bái)Marker(1.2-45 kD)

Journal: Frontiers in Plant Science.  Volume 81, November 2017, Pages 211-217

InstitutionInstitute of Plant Protection, Chinese Academy of Agricultural Sciences

Paper linkhttps://doi.org/10.1093/jxb/ery351

 

4. [2021 IF=2.99] Purifcation, characterization, and action mechanism of plantaricin DL3, a novel bacteriocin against Pseudomonas aeruginosa produced by Lactobacillus plantarum DL3 from Chinese Suan Tsai.

Author: Xinran Lv,  Yang Lin ,Yu Jie, Mengtong Sun, Bolin Zhang,Fengling Bai,Hongfei Zhao,Jianrong Li

Marker: RTD6127,超低分(fēn)子量蛋白(bái)Marker IV(3.3-45 kD)

Journal: European Food Research and Technology. Vol 244, pages 323–331 (2018)

InstitutionCollege of Biological Science and Biotechnology, Beijing Forestry University

Paper linkhttps://link.springer.com/article/10.1007/s00217-017-2958-3

 

5. [2021 IF=6.99] Verticillium dahliae Alt a 1-like protein PevD1 targets cotton PR5-like protein and contributes to fungal infection.

Author: Yi Zhang, Yuhan Gao, Yingbo Liang, Yijie Dong, Xiufen Yang, Dewen Qiu

Marker: RTD6110,彩虹超低分(fēn)子量蛋白(bái)Marker (1.2-45 kD)

Journal: Journal of Experimental Botany, Vol 70, Issue 2, 15 January 2019,613-626

InstitutionInstitute of Plant Protection, Chinese Academy of Agricultural Sciences

Paper linkhttps://doi.org/10.1093/jxb/ery351

 

6. [2021 IF=11.277] An  Alternative  Splicing  Variant  of  PtRD26  Delays  Leaf  Senescence by Regulating Multiple NAC Transcription Factors in Populus.

Author: Hou-Ling Wang,Yi Zhang,Ting Wang, Qi Yang,Yanli Yang,Ze Li, Bosheng Li, Xing Wen, Wenyang Li, Weilun Yin, Xinli Xia, Hongwei Guo, and Zhonghai Li

Marker: RTD6110,彩虹預染超低分(fēn)子量蛋白(bái)(1.2-45 kD)

Journal: Plant Cell. Volume 33, Issue 5, May 2021, Pages 1594–1614

InstitutionBeijing Advanced Innovation Center for Tree Breeding by Molecular Design, Beijing Forestry University

Paper linkhttps://doi.org/10.1093/plcell/koab046

 

7. [2021 IF=2.89] Rapid and sensitive detection ofStaphylococcus aureus and Klebsiella pneumonia based on bacitracin-modified Fe3O4@PDA magnetic beads combined with matrix-assisted laser desorption ionization-time of flight mass spectrometry.

Author: Feng Qin, Shujuan Wang, Mingxia Gao  and  Xiangmin Zhang

Marker: RTD6110,彩虹預染超低分(fēn)子量蛋白(bái)(1.2-45 kD)

Journal: Analytical Methods. 2021,13, 2804-2811

InstitutionDepartment of Chemistry, Fudan University

Paper linkhttps://pubs.rsc.org/en/content/articlelanding/2021/ay/d1ay00614b

 

8. [2021 IF=3.74] Cloning, expression, and function of ferritins in the tick Haemaphysalis flava.

Author: Yu Zhao, Lei Liu, Jin-Bao Liu, Cong-Ying Wu, De-Yong Duan, Tian-Yin Cheng

Marker: RTD6142 高分(fēn)子量非變性電泳蛋白(bái)質Marker II(45-669 kD)

Journal: Ticks and Tick-borne Diseases. Volume 13, Issue 2, March 2022, 101892

InstitutionCollege of Veterinary Medicine, Hunan Agricultural University,

Paper linkhttps://linkinghub.elsevier.com/retrieve/pii/S1877959X21002454

 

9. [2021 IF=0.886] Purification and Characterization of an Intracellular β-Glucosidase from the Protoplast Fusant of Aspergillus oryzae and Aspergillus niger

Author: F.M. Zhu, B. Du, H.S. Gao, C.J. Liu, and J. Lia

Marker: RTD6109 高分(fēn)子量蛋白(bái)質Marker(43-200 kD)

Journal: Applied Biochemistry and Microbiology, 2010, Vol. 46, No. 6, pp. 626–632

InstitutionCollege of Food Science and Technology, Hebei Normal University of Science and Technology

Paper linkhttps://link.springer.com/article/10.1134/S0003683810060116

 

10. [2021 IF=4.374] Effect of Fuzhuan brick-tea addition on the quality and antioxidant activity of skimmed set-type yoghurt.

Author: Dong Liu

Marker: RTD6103 低分(fēn)子量蛋白(bái)質Marker II(14.4-116 kD)

Journal: International Journal of Dairy Technology, Vol 71 March 2018 Pages 22-33

InstitutionDepartment of Food Processing Technology, Anqing Vocational & Technical College

Paper linkhttps://doi.org/10.1111/1471-0307.12395

 

11. [2021 IF=3.7] Smart delivery of poly-peptide composite for effective cancer therapy

Author: Xin Yuan, Yingzhou Qin, Qingmei Tian, Cuijuan Liu, Xiangzhou Meng, Bo Qie, Fan Gao, Ying Huang, Guanghui Xu, Guang Yang, Yimin Zhu

Marker: Protein Marker

Journal: Biomedical Materials, 2022 Jan 24;17(2)

Institution:School of Nano-Tech and Nano-Bionics, University of Science and Technology of China

Paper linkhttps://pubmed.ncbi.nlm.nih.gov/34996052/

 


 
隻有購(gòu)買過該商品的用戶才能進行評價。[發表評價]